Noticias
Cena de gala de la reunión de verano de 2012 de la SEOEME
En esta ocasión, la reunión veraniega de la Sociedad Española de Odontología para el Minusválido y Pacientes Especiales se celebró en El Puerto de Santa [...]
Sedación en Odontología: Paciente disminuido psíquico y físico; odontopediatría
16-17 de marzo de 2012, Curso Académico 2011-2012 del Col·legi Oficial d’Odontòlegs i Estomatòlegs de Catalunya. Pida su cita [...]
Congreso de Pacientes Especiales en Santiago de Compostela
El Dr. Julián López y la Dra. María José Giménez han sido nombrados Presidente y Vicepresidente respectivamente de la Sociedad Española de Odontología para el [...]
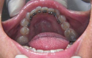
Ortodoncia lingual
La ventaja estética la convierte en una opción ideal para adultos o para todas aquellas personas que no quieran sacrificar su estética con la ortodoncia [...]
Curso en el COEC
Curso impartido por la Dra. Giménez y el Dr. López en el Colegio oficial de odontólogos y estomatólogos de Catalunya (COEC). Se presentaron los últimos [...]
Premio Sta. Apolonia 2010
Premio Sta. Apolonia 2010 al Servicio de Odontología del Hospital Niño Dios, "en reconocimiento por su labor asistencial y docente al servicio de la salud [...]
Visita Benedicto XVI
Imagen de Su Santidad Benedicto XVI en su visita a la Obra Benéfico Social Nen Déu en Barcelona el 7 de Noviembre del 2010. [...]






